
هر آنچه که باید در مورد تفاوت لمینت و کامپوزیت دندان بدانید.

لبخند زیبا یکی از اجزای اصلی زیبایی است. ظاهر دندانهای شما تأثیر قابل توجهی در عزت نفس و اعتماد به نفس شما دارد. در همان زمان، باعث میشود جذابتر و جوانتر به نظر برسید. اگر به دلیل فضاهای ناهموار بین دندانهایتان احساس خوبی ندارید، مشکلی نیست که حل نشود.
لمینت و کامپوزیت دندان از جمله راهکارهای زیبایی دندانها در دندانپزشکی هستند. این دو روکشی نازک به رنگ دندان هستند که به جلو دندان شما وصل می شوند و انواع مشکلات آن را برطرف می کنند. انتخاب روش روکش لمینت و کامپوزیت به مجموعه متفاوتی از معیارهای مختلف بستگی دارد. قبل از انتخاب نوع خاصی از روکش دندان، ابتدا باید بفهمید که لمینت بهتر است یا کامپوزیت؟ انتخاب معیار مناسب، فاکتور بسیار مهمی در موفقیت استفاده از روشهای لمینت و کامپوزیت است. در ادامه این پست با ما همراه باشید تا با مزایا و معایب هر یک از این روشها بیشتر آشنا شوید.
مزایای روکش لمینت و کامپوزیت دندان
- هزینه پایینتر روکش کامپوزیت
یکی از مهمترین عوامل موثر در اختلاف قیمت لمینت و کامپوزیت، انتخاب روکش مناسب دندان است. عمدهترین مزیت روکش کامپوزیت نسبت به لمینت، هزینه پایینتر آن است. به طور میانگین، لمینت دارای اختلاف قیمتی دو برابر بیشتر از روکش کامپوزیت میباشد که برای برخی از افراد بسیار مهم است، زیرا بیشتر درمان ها توسط بیمه پوشش داده نمیشوند.
- یکی دیگر از تفاوت لمینت و کامپوزیت دندان در مراحل و مدت زمان انجام آن است.
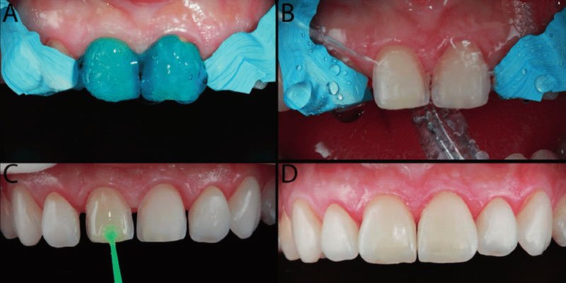
مدت زمان انجام روکش لمینت و کامپوزیت نیز متفاوت است. معمولا ونیر کامپوزیت در یک جلسه ویزیت به طور کامل انجام میشود. بدین منظور، دندانپزشک دندان ها را با پوششی از نوع رزین می پوشاند، لایههای اضافی رزین اعمال شده، تراشیده میشود. سپس رزین از طریق نوری شدید سخت شده و در نهایت روکشها جلا پیدا می کنند. نیاز است تا برای داشتن ظاهری طبیعی، رزین صیقل داده شود تا مشابه دندان واقعی شود. برای انجام این درمان نیاز به تراشیدن دندان نیست.
اما لمینت سرامیکی دندان نیاز به دو الی سه هفته زمان نیاز دارد. ابتدا دندانپزشک کمی از مینای دندان را تراش می دهد و بعد از آنها قالب گیری می کند و برای ساخت روکش دندان، قالب ها را به آزمایشگاه ارسال می کند. بعد از دو هفته روکش ها آماده می شود و برای نصب به دندانپزشک تحویل داده می شود. اکنون دندانپزشک روکش لمینت را به دندان های شما میچسباند.
- برگشت پذیری
روش لمینت و کامپوزیت از نظر میزان برگشت پذیری نیز با یکدیگر متفاوت هستند. خوب است بدانید که مهمترین مزیت درمان روکش کامپوزیت نسبت به لمینت، قابلیت برگشت پذیری آن می باشد. زیرا برای انجام باندینگ (کامپوزیت) نیازی به تراشیدن دندان نیست و می توان بعد از مدتی روکش ها را از دندان جدا کرد و از دندان های طبیعی خود استفاده کرد، اما به دلیل تراشیدن دندان در درمان لمینت دیگر نمی توان از دندان های طبیعی خود بهره برد. در واقع روش لمینت دندان (ونیر پرسلین) قابلیت برگشت پذیری ندارد.
- طول عمر لمینت و کامپوزیت
فکر میکنید از نظر طول عمر لمینت و کامپوزیت، کدام یک برای شما بهتر است؟ هر چند روکش کامپوزیت دارای مزایای زیادی است، اما از نظر ماندگاری با روش لمینت قابل مقایسه نیست. با وجود پیشرفت انجام شده در طی سالیان دراز برای ماده رزین، اما ماده به کار رفته در روش لمینت، بسیار قویتر از رزین کامپوزیت است. لازم به ذکر است که لمینت به طور میانگین چیزی حدود ۱۰-۱۵ سال مقاومت داشته و دوام میآورد، هر چند با رعایت بهداشت دهان و دندان و پیروی از دستورالعملهای دندانپزشک، حتی میتوان برای مدت طولانیتری از آنها استفاده کرد. روکش کامپوزیت تمایل به ماندگاری حدود نیمی از زمان، یعنی چیزی حدود ۵-۷ سال دارد.
با توجه به مطالب بیان شده، اگر به فکر جایگذاری روکش هستید بسیار مهم است که تفاوت طول عمر و قیمت لمینت و کامپوزیت را با یکدیگر در نظر بگیرید. در واقع، در حالی که ممکن است کامپوزیتها نصف لمینت قیمت داشته باشند، اما آنها فقط به اندازه نصف عمر لمینت دوام میآورند.
عوارض لمینت و کامپوزیت
اکثر دندانپزشکان اتفاق نظر دارند که روش لمینت، زیبایی طبیعی مشابه با دندانهای اصلی برای شما فراهم می کنند. این روش زیبایی دندانپزشکی، از نظر کیفیت، دارای شفافیتی کاملا مشابه مینای دندان شما است. همچنین، روش لمینت به علت بالا بودن استحکام ماده و لعاب مصرفی پس از درمان، در مقابل لکه شدن و خراشیدگی بسیار مقاوم میباشد. این در حالی است که روش روکش کامپوزیت، از درجه تخلخل بالاتری برخوردار است. بنابراین، این روکش در معرض خطر لک شدن قرار دارد. به همین خاطر، به منظور جلوگیری از ایجاد لک توسط برخی از مواد غذایی به وجود آورنده لک در دندان، ضروری است تا رژیم غذایی مناسبی داشته باشید. علاوه بر این، برای داشتن دندانهایی به زیبایی دندان اصلی، روکش کامپوزیت باید پرداخت شود.
در روش لمینت ممکن است بیمار بیشتر از روش کامپوزیت درگیر باشد و اغلب اوقات افراد به علت انتظار برای ساخت روکش ها در آزمایشگاه دچار خستگی مفرط میشوند. با این وجود دندانپزشکان در تلاش هستند تا از فناوری CAD / CAM برای ساخت استفاده کنند. اگر به دنبال استفاده از روش روکش لمینت و کامپوزیت هستید، خوب است بدانید که بررسی انواع مختلف فناوریهای در دسترس دندانپزشک شما، از اهمیت بالایی برخوردار است.
انواع کامپوزیت دندان و مزایای آنها

روش روکش کامپوزیت دندان دارای انواع مختلفی از جمله کامپوزیت درشت دانه، ریز دانه، هیبرید، نانو کامپوزیت و … می باشد که در ادامه به صورت مختصر توضیح داده شده است:
کامپوزیت درشت دانه و یا ماکروفیل دارای ذراتی به ابعاد ۱۰ تا ۵۰ میکرومتر میباشد که بزرگی ابعاد ذرات تاثیر فوقالعادهای در مقاومت کامپوزیت دارد. این در حالی است که در روش ریز دانه (میکروفیل) ابعاد ذرات به ۱۰۰ نانومتر می رسد. در این روش دوام کامپوزیت کمتر از روش درشت دانه است، اما سهولت انجام امر پولیش کردن از جمله مزایای آن است. روش هیبریدی یا ترکیبی، ابعاد ذرات ما بین دو روش قبلی یعنی چیزی حدود ۱۰ تا ۵۰ میکرومتر و همچنین تا ۴۰ نانو متر هستند. فیلر بالای مواد پرکننده منجر به افزایش مقاومت آنها در برابر ساییده شدن می شود. اما عیب این روش، کاهش یافتن زیبایی روکش با گذشت زمان و در اثر استهلاک است. نانو کامپوزیت نیز از جمله روش های جدید روکش است که ابعاد ذرات حدود ۲۰ نانومتر است. به علت تجمع ذرات ریز و تشکیل ذرات با ابعاد بزرگتر، مقاومت در برابر سایش، امکان پولیش و محکم بودن کامپوزیت افزایش پیدا کرده است. از بین روشهای بیان شده، به احتمال زیاد روکش نانو کامپوزیت بهترین گزینه است.
انواع لمینت دندان و مزایای آنها

انواع روش های روکش لمینت دندان شامل لمینت دندان سرامیکی، کامپوزیتی، فوری، قابل جابجایی و … می باشد. در روش سرامیکی، به علت روشن بودن و شفافیت مینای دندان، ظاهر یکدستی دارد. این روکش، بسیار قوی و مقاوم در برابر تراشیدن میباشد، اما قیمت آن گران است. این در حالی است که روش لمینت کامپوزیتی، ارزانتر بوده و با پنهان کردن نواقص دندانی، لبخند زیبایی را برای شما به ارمغان می آورد. روکش لمینت فوری، از پیش ساخته میشود و نسبت به بقیه ارزانتر است، اما دوام کمتری دارد. روکش لمینت قابل جابجایی نیز با استفاده از رزین سفت ساخته شده و کاملا طبیعی است. این روش از جمله جدیدترین روشهای روکش دندان است که کار با آنها آسان است.
اگر دندانتان به طور کامل از دست رفته و نمی توان با روش های روکش دندان آن را ترمیم کرد باید از درمانهایی مانند ایمپلنت استفاده نمایید.
ارسال نظر